Ti stai chiedendo come rendere i servizi RM più prevedibili, produttivi e convenienti? La strada da seguire è la risonanza magnetica senza elio. L'elio è una risorsa finita, che può aumentare la complessità e l'imprevedibilità delle attività RM e del relativo budget. Ecco perché abbiamo sviluppato il rivoluzionario magnete BlueSeal. Basato su un decennio di innovazione, funziona con soli sette litri di elio liquido invece dei consueti 1.500 ed è completamente sigillato, liberando il funzionamento della RM dalle potenziali complicazioni legate all'elio. Inoltre, Ingenia Ambition 1.5T garantisce una scansione di alta qualità, prestazioni affidabili e una facile installazione. Sei pronto per questa nuova realtà in RM?
Il magnete Philips BlueSeal utilizza una nuova tecnologia di micro-raffreddamento ad alta efficienza. È completamente sigillato, in modo che non possa fuoriuscire elio1, sia in caso di perdita improvvisa che graduale. Ciò può avere un impatto notevole sulla continuità, la sicurezza e i costi delle attività di RM.
Grazie a Ingenia Ambition ora puoi ottenere tutto questo. Questo sistema ti offre l'opportunità di migliorare l'imaging RM a ogni livello.

Velocità Esami RM fino al 50% più veloci2, che ti permettono di razionalizzare il tempo a disposizione.

Comfort per il paziente Riduzione fino al 40% delle apnee, con una qualità dell'immagine pressoché identica.3

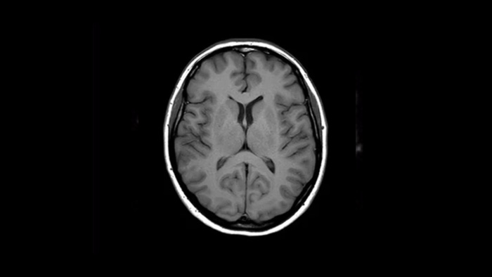
Affidabilità diagnostica Risoluzione spaziale fino al 60% più elevata, con lo stesso tempo di scansione.4
Il magnete del sistema Ingenia Ambition a 1,5 tesla vanta una tecnologia di nuova generazione e in sé riunisce gli aspetti più importanti di un sistema RM di successo.
Costantino Peña
Direttore medico imaging vascolare presso il Baptist Hospital, Miami Cardiac and Vascular Institute
Questa non è soltanto una caratteristica che ci aiuterà a risparmiare energia, perché per raffreddare 1500 litri di elio si consuma molta energia, ma ci consentirà anche di risparmiare denaro e di rispettare di più l'ambiente.
Dott.ssa Marίa del Mar Travieso
Responsabile del dipartimento di radiologia, Hospitales San Roque, Spagna
Sono disponibili numerose applicazioni per migliorare il flusso di lavoro, come Compressed SENSE, VitalEye e VitalScreen. Riteniamo che questo sistema unisca sicurezza e miglioramento del flusso di lavoro.
Shibukawa
Tecnico radiologo, Università di Tokai, Giappone




Scopri in che modo Ingenia Ambition 1.5T può portare a un livello superiore le attività legate alla risonanza magnetica.
Grazie a Ingenia Ambition è possibile ottenere tutto questo. Il sistema offre opportunità per migliorare i servizi RM a ogni livello.

Velocità Esami fino al 50% più veloci con una qualità dell'immagine praticamente identica2.

Esperienza del personale Supporto per una migliore esperienza del personale con un flusso di lavoro che fornisce indicazioni e automazione dove necessario.

Comfort per il paziente Migliore esperienza per il paziente e meno stress grazie a un maggior comfort e a istruzioni automatizzate.

Affidabilità diagnostica Funzionalità di imaging ampliate in tutte le aree cliniche. Scopri i vantaggi di cui già si avvalgono i tuoi colleghi.
Questa soluzione innovativa offre numerosi vantaggi clinici, operativi e finanziari.
Scarica la brochure Ingenia Ambition 1.5T
Ulteriori informazioni sui dettagli del prodotto
Scopri in che modo l'MCVI migliora la qualità della RM.
1 Anche nella remota eventualità che venga meno la tenuta ermetica del magnete, la fuoriuscita di una quantità trascurabile di elio non influirebbe in modo sostanziale sul livello di ossigeno presente nella sala. 2 Rispetto alle scansioni Philips senza Compressed SENSE. 3 Per una frequenza cardiaca bassa (50 bpm), rispetto alle scansioni Philips senza Compressed SENSE. 4 In scansioni 3D MSK VIEW isotropiche, rispetto alle scansioni Philips senza Compressed SENSE.
You are about to visit a Philips global content page
ContinueNote:
I contenuti presenti nella pagina che segue contengono informazioni rivolte esclusivamente agli OPERATORI SANITARI, in quanto si riferiscono a prodotti rientranti nella categoria dei dispositivi medici che richiedono l’impiego o l’intervento da parte di professionisti del settore medico-sanitario.